POSTOJI LI
ZAISTA BOLEST - AIDS?
http://www.virusmyth.com/aids/award.htm
Piše: Ivona Živković
HIV je skraćeni naziv za virus koji izaziva pad imuniteta kod ljudi (Human
Immunodeficiency Virus). Bolest koja se u kontaktu sa ovim virusom razvija je
nazvana - AIDS (Acquired Immunodeficiency Syndrome), u prevodu - Sindrom
stečenog nedostatka imuniteta (SIDA).
O tome koliko je ovaj virus opasan, kako se prenosi, ko i kada treba da se
testira na HIV, odavno vam je već poznato. Globalni mediji ne prestaju da nas,
sve na planeti, zastrašuju i zasipaju informacijama o ovoj opasnoj bolesti
(navodno najčešće homoseksulalaca i narkomana). Žrtava je, naravno, najviše u
SAD, gde je i najviše narkomana, ali i u Africi (mada tamo niko ne kaže da je to
zbog homoseksualnosti i narkomanije).
Svejedno, pametnom čoveku je već odavno ovaj virus uterao strah u kosti, a oni
koji su imali potrebu da odu na testiranje i otkriju da su HIV pozitivni (što ne
znači da su i oboleli od AIDS-a) doživeli su šok. Sada moraju da se kriju od
sveta, ali i da, u paničnom strahu, iščekuju sudnji dan kada će AIDS da ih
totalno savlada. Jer, bolest se završava smrtno.
Postoji samo jedan problem: ovaj virus niko do sada nije izolovao po proceduri
koja je definisana još 1973. u Pasterovom institutu u Parizu i niko ga nije
fotografisao pomoću mikroskopa. Na osnovu čega se onda zaključuje da HIV zaista
postoji?
Pa ceo medicinski svet priča, zaboga! Priča Svetska zdravstvena organizacija,
pričaju biohemičari, tvrde naučnici, globalni mediji upozoravaju, države
izdvajaju ogromna sredstva za lečenje...
Dobro, ali neki naučnici hoće naučno validne dokaze.
"Ukoliko postoji dokaz da HIV uzrokuje AIDS trebalo bi da postoje naučni
dokumenti koji ili pojedinačno ili kolektivno objašnjavaju tu činjenicu i to
najmanje visoke verovatnoće. Takav dokument ne postoji", izjavio je Dr.Keri
Mjulis dobitnik Nobelove nagrade za hemiju 1993.
"Sve do danas zapravo ne postoji ni jedan naučno ubedljiv dokaz za postojanje
HIV-a. Niti jednom takav retrovirus nije izolovan i prečišćen metodama klasične
virusologije", reči su dr Hajnca Ludviga Sengera, penzionisanog profesora
molekularne biologije i virusologije na institutu Maks- Plank u Minhenu.
Ovakvih stavova ima još mnogo. Možete ih videti ovde:
Naravno, to su samo naučnici koji imaju hrabrosti da se suprotstave stručnom
mišljenju autoriteta kao što je Svetska Zdravstvena Organizacija. To su oni koje
ne možete baš obmanjivati, kao što možete nepismenu raju, posebno onu u Africi i
Aziji. Od lekara koji ne bi da izgube posao i dobro uhlebljenje u SZO i moćnim
privatnim bolnicama ne treba previše ni očekivati.
Ali, ako ne postoji virus, kako onda nastaje AIDS?
ŠTA JE ZAISTA AIDS?
Sindrom stečenog nedostatka imuniteta (AIDS) sam po sebi i nije zasebna bolest.
Tehnički je AIDS definisan kao jedna od 19 do 60 klasičnih bolesti koje prate
pozitivan HIV test, kao što su pneumonija, dijareja, hepatitis, malarija,
zauške, male boginje, gonoreja, salmonela, tuberkuloza, izvesna kancerogena
oboljenja i još mnoge druge bolesti.
Postepeno slabljenje imunih funkcija i konačno potpuno razaranja lipoidnih i
imunoloških organa je centralni okidač koji dovodi do potpunog razaranja imunog
sistema i tada nastaje AIDS.
Tako je organizam lišen mogućnosti da se brani od mnoštva virusa i oni slobodno
kreću u akciju razaranja ćelija.
Različite zemlje imaju različite kriterijume po kojima se odredjuje postojanje
AIDS-a. Neki barataju sa 19 bolesti, a neki sa 60. Osnovni kriterijum za
dijagnozu AIDS-a je ako jednu od ovih bolesti prati pozitivan HIV test.
Doktori znaju za dva tipa HIV testa: Elisa test, koji je stariji i Western Blot.
Obavlja se i treći tip testiranja i to je test viralne nosivosti baziran na
reakciji lanca polimeraza (Polymerase Chain Reaction )koji je izmislio upravo
nobelovac dr Keri Mjulis.
Iako mnogi veruju da HIV test otkriva prisustvo baš ovog virusa, to nije tako.
Dva od ova tri testa ispituju postojanje antitela u krvi kao odgovor na
prisustvo izvesnih proteina. Doktori tada oprezno kažu da su to proteini za koje
se veruje da liče na HIV proteine. Specijalizovani doktori - mikrobiolozi,
virusolozi i drugi istraživači naglašavaju, medjutim, da ovi proteini nisu
karakteristični ni za jedan poseban virus. Antitela se ne formiraju zbog
prisustva samo jednog specifičnog mikroba već zbog raznovrsnih mikroba. Tako je
više od 60 okolnosti dokumentovano da reaguje na test HIV-a. Medju njima su:
običan grip, vakcina gripa i druge vakcine, skora transfuzija krvi, alkoholizam,
pogrešna upotreba lekova, bolesti jetre, postojanje herpesa bilo kad u životu, i
mnoga druga stanja. Najgore od svega je što trudnoća savršeno zdrave žene može
takodje reagovati pozitivno na test HIV-a.
Dakle, postoji naznaka bolesti kao i kod svih starih i dobro poznatih bolesti,
ali se smatra da u sadejstvu sa HIV virusom ona izaziva bolest - AIDS.
Evo kako to izgleda ako bi se prevelo u formulu:
Indikator bolesti + HIV = AIDS
Što se tiče testa koji se vrši izazivanjem reakcije lanca polimeraza, postoji
izjava samog izumitelja ovog testa, dr Mjulisa, "... da ni pod kakvim
okolnostima se ne može reći da test dokazuje isključivo prisustvo HIV virusa".
Naprotiv, dr Keri Mjulis je vodeći skeptik u vezi povezivanja HIV-a i AIDS-a.
Dakle, u odsustvu HIV-a, indikator bolesti pokazuje bolest koja se zove svojim
starim imenom. Prevedeno u formulu:
Indikator bolesti - HIV = Indikator bolesti
Konkretno to može da izgleda ovako:
Tuberkuloza + HIV = AIDS
Tuberkuloza - HIV = Tuberkuloza
Dijareja + HIV = AIDS
Dijeraja - HIV = Dijareja
Demencija + HIV = AIDS?
Demencija - HIV = Ludilo?
Eto, tako nastaje bolest nazvana AIDS, u prisustvu virusa (HIV), koji još niko
nije precizno dokumentovao.

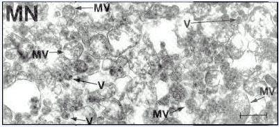
Na Internetu se može naći mnogo skica i crteža takozvanog HIV-a , ali ne postoje
nikakve stručne reference. Ovo je jedini snimak "virusa" koji izaziva AIDS.
Na osnovu ovoga HIV je nacrtan ovako:
ili ovako:
Ovakvo objašnjenje bolesti se nekim naučnicima i lekarima učinilo sumnjivim.
Zato su krenuli u akciju potrage za istinom o ovom virusu. Otvorili su i svoj
sajt:
http://www.virusmyth.net/aids/. Tu možete neći njihova razmišljanja.
Suština je sledeća: AIDS je najobičnija prevara?
Možda još jedno logično pitanje koje se meni kao laiku nametnulo: Sa kojim
ciljem bi Kreator (koji je stvorio život) stvorio i jedan takav virus koji
razora sam imuni sistem? Zašto je onda Kreator uopšte stvarao imuni sistem? Nije
li ovo biološki nelogično?
OD ČEGA ZAISTA UMIRU "OBOLELI" OD AIDS-a?
Ali nije sve tako crno. Ima i crnjeg.
Za Afriku je Svetska Zdravstvena Organizacija ustanovila posebnu tehniku za
dijagnostikovanje AIDS-a. S obzirom da je HIV test suviše skup (za jeftine
crnce, valjda), oni su odobrili vizuelnu dijagnostiku. Tako, ukoliklo afrički
pacijent izgubi 10% svoje težine, ima groznicu ili upornu dijareju prećenu
eventualnim kožnim osipom i svrabom... Da, onda je to - AIDS. Tačka.
Još ako to potvrdi CNN, nema šta da se poriče. Tačka. (Ne zaboravimo da CNN kaže
i da su Srbi su izvršili genocid u Srebrenici. Tačka.)
Sa ovakvom tehnikom dijagnostikovanja jasno je zašto u Africi postoji prijavljen
tako veliki broj obeololih od AIDS-a i još veći broj HIV pozitivnih i zašto se
ogromna sredstva iz nacionalnih budžeta država članica UN izdvajaju za borbu
protiv ove bolesti.
Ista dijagnostička tehnika se primenjuje i u jugoistočnoj Aziji. Ostale bolesti
koje su posledica siromaštva i loše higijene, potpuno se zanemaruju.
Prosečno inteligentnom čoveku postaje sada uočljivo da postoji neki PLAN po kome
se NEŠTO u vezi sa ovim "virusom" radi i gde su uključene UN kao i Svetska
Zdravstvena Organizacija. Dakle, ako virus i ne postoji, PLAN postoji.
Ali ljudi ipak umiru od AIDS-a?
Čini se da ljudi pre umiru od lekova lekova koji su izuzetno toksični i koji im
se daju protiv "opasnog virusa".
Za pogoršanje zdravstvenog stanja osoba koje su pozitivne na HIV postoje dva
razloga: ili je osoba oslabila zbog pothranjenosti ili je neka druga bolest koja
je zapostavljena - napredovala, ili je osobi dat lek za AIDS.
Jedan od tih lekova je Azidothymidine, skraćeno AZT. Lek je nastao 1964. da bi
se koristio u hemoterapiji kod obolelih od raka. Bio je odbačen i pre nego što
je stigao na tržište, jer su već u laboratoriskom testiranju mnoge životinje
uginule. Ovaj lek se smatra jednim od najotrovnijih lekova koji je ikad stavljen
u upotrebu. On jednostavno zaustavlja sve DNK sinteze u ćeliji, te se smatra
pravim otrovom za ćelije. Za razliku od njegove primene u terapiji u lečemju
kancera kada se on koristi samo nekoliko nedelja i nikad više, u lečenju AIDS-a
on se propisuje za doživotno uzimanje. Dakle, smrtno otrovan lek se mora uzimati
doživotno!
Sada vam je jasno zašto pacijenti koji umiru od AIDS-a izgledaju ovako:
To su ljudi koji polako, ali sigurno - umiru. Zvanično na listi efekata koje
ovaj lek izaziva su upravo: razaranje koštane srži te stoga nastaje i anemija i
dalji pad imunog sistema do njegovog potpunog sloma, kao i poremećaj rada creva
i smanjenje apsorbcije hranjivih materija, usled čega dolazi do pada težine.
Stomačni bolovi, bolovi u ledjima, grudima, otok usana, groznica, simptomi
prehlade, krvarenje desni, dijareja, otkazivanje jetre, depresija, konfuzija i
još mnogo toga, posledica su uzimanja ovog "leka".
Dakle, ljudi se proglašavaju bolesnima od AIDS-a na osnovu postojanja virusa
koji nikada nije dokumentovan i naučno dokazan, otkrivenog testovima koji su
nespecifični, i na njima se sprovodi lečenje teško otrovnim lekovima koji
uzrokuju upravo one simptome za koje se tvrdi a ih stvara prisustvo HIV-a.
Ko je tu zaista bolestan?
Ne, vi ćete možda pomisliti da nije moguće da lekari stvaraju ovu opaku bolest.
Ali, postoje i drugi primeri takvih bolesti koje se jednim imenom nazivaju
ijatrogenim bolestima. Podsetimo na Svinjski grip, SARS, Španski grip..
A sve se uvek vrtelo oko novca koji se slio na račune farmaceutskih kompanija.
Ali, nije samo biznis u pitanju. Postoji i nešto drugo.
Još pre trideset godina objavljen je program o neophodnosti depopulacije ljudske
vrste na planeti. To nije tajna. Svi sumnjivi virusi upravo se i pojavljuju tamo
gde je populacija siromašnih najveća. Da li je ovo perfidno smišljeni genocid?
Da li je on "human" jer žrtva nije svesna da mora da umre jer to NEKO želi?
Zar je to teško zaključiti?
U Velikoj Britaniji kao i u SAD sprema se zakon po kome će sve trudne žene biti
obavezno podvrgnute HIV testu. Kakav štos, kada se zna da upravo trudnoća daje
pozitivan rezultat na ovakav test. Naravno, HIV pozitivne osobe se odmah
registruju i stavljaju na posebnu listu i prate se. To su potencijalno "opasne"
osobe. Njihova deca će biti automatski zaražena HIV-om. I ona se moraju pratiti.
Svaka i najmanja temperatura ili prehlada mogu biti - ZNAK. Onda se mora što pre
dati "LEK". Azidothymidine (AZT), na primer. Nije li to uvod u legalizovano
masovno ubijanje?
Šta nama preporučuje Jugoslovenska asocijacija za borbu protiv Side (Jazas),
"nevladina", neprofitna organizacija koja je "spontano" nastala i koju vode
isključivo mladi ljudi koji nemaju pojma odakle im pare da vode svoje akcije:
Ko, po njima, treba da se podvrgne HIV testu?
Nije li ovo poziv na ubijanje? Koliko ljudi ovo može da shvati? Antropologija je
veoma precizna: ko želi da redukuje stanovništvo, mora prvo onesposobiti i ubiti
žene.
Ali ni to nije sve. Raju treba maksimalno zamajavati i pljačkati. Tako se sada
radi i na dobijanju vakcine protiv HIV-a. Naravno, za ova istraživanja se iz
nacionalnih budžeta izdvaja pozamašna suma.
Bil Klinton se rukuje sa Azijcem obolelim od AIDS-a. Obratite pažnju na crvenu
tračicu u njegovom reveru. Baš ON je na čelu fondacije koja nosi njegovo ime i
koja pomaže bolesne i siromašne širom sveta. Dakle, ON skuplja novac i
rasporedjuje ga. Da li je Klinton humanitarac ili ratni zločinac, zaključite
sami.
Poznati baletski igrač Rudolf Nurejev jedna je od žrtva AIDS-a. Ovo su objavili
svi svetski mediji. Ali nisu objavili da je kao "lek", nakon što je otkriveno da
je HIV pozitivan, dobijao AZT. Nurejev je zapravo umro od perikarditisa (upale
srca) koju je dobio inficiranjem cytomegalovirusom iz porodice herpesa. Ovaj
mikrob je obično latentan, ali zbog pada imunog sistema, navodno uzrokovanog
HIV-om, on je postao patogen. Ili je možda postao patogen zbog AZT-a? Ne,
zaboga! Nurejev je umro od AIDS-a. Tačka.
http://www.ivonazivkovic.net/index.htm
www.virusmyth.org
www.aliveandwell.org
www.garynull.com
Ko je stvorio AIDS:
http://www.youtube.com/watch?v=CDxZ7PX8YGI
http://www.youtube.com/watch?v=A-p0V3sbB2I